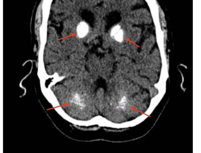
Fahr’s Syndrome Secondary to Hypoparathyroidism Presenting With Neurological and Cardiac Manifestations
January 13, 2026

Follow link to read full article
Fahr’s Syndrome Secondary to Hypoparathyroidism Presenting With Neurological and Cardiac Manifestations
Back to News